矯正治療は見た目の美しさだけでなく、歯を正しい位置に並べることで噛むという歯本来の役割を果たします。
しっかり噛んで、思いっきり笑うことは、身体の健康に繋がるだけでなく、心の健康にも良い影響をもたらします。







歯並びが良くなると口元を隠さずに思いっきり歯を見せて笑うことが増え、笑顔に自身がもてるようになります。
コンプレックスから開放され、自然で明るい笑顔は、健康的で若々しい印象を周囲に与えます。
歯並びがそろっていると歯磨きがしやすくなり、磨き残しが減ることで虫歯や歯周病のリスクが低くなります。お口の中の清潔を保つことが簡単になり、口臭の改善も期待されます。
咬み合せが良くなることで、食べ物を丸飲みすることなくしっかりと前歯で噛み切り、奥歯ですりつぶすことができるようになります。胃腸に負担がかからなくなり、健康にも繋がります。
28本全部の歯で噛む力を分散できているのが理想の噛み合わせです。歯がでこぼこしていて上手く噛み合っていないと噛む力が偏り、一部の歯に過剰な力がかかって歯を痛めたり詰め物や被せ物が壊れる可能性があります。
正しい噛み合わせで噛むことで、お口周りの筋肉がバランス良く活発に動きます。顔の歪みやほうれい線、シワの改善や、頭や顎の骨のバランスも整うことで様々な不定愁訴の改善も期待できます。
噛み合わせの状態によっては、舌の動きが制限されてしまったり発声時に空気が抜け過ぎてしまったりと、発音障害を生じることがあります。矯正治療を行うことで発音がしやすくなります。

日本矯正歯科学会には、認定医・指導医・臨床指導医(旧専門医)制度があります。矯正治療に関して適切かつ十分な学識と経験を有する者をわかりやすく認定している制度です。
中でも臨床指導医はより高度な臨床技能と学問的知識を有しており、全国に375名しかいません(2022年度)。
大木歯科・矯正歯科 四日市は鈴鹿市にある本院や他院の臨床指導医・認定医ともチームを組み、専門家を集めた「チーム医療」で診療を行っています。
矯正担当の歯科医師のご紹介
大木歯科・矯正歯科 四日市では、顎の成長にともない歯並びがきちんと揃っていくかを確認しながら、必要に応じて乳歯から永久歯に生え換わる時期に矯正治療をご提案させていただきます。

無料相談では、お子さまの歯並びや口腔内の成長等のお悩みをヒアリングさせていただきます。
お子さまに合わせた治療方法や治療開始時期、費用・治療にかかる期間などをご説明させていただきます。

子どもの矯正治療には口腔内に付けるものや頭を覆うものまで、様々な種類の装置があります。大木歯科・矯正歯科 四日市では年齢や歯の生え方、顎の成長に合わせた適切な装置を一人一人にご提案します。

子どもの矯正治療の最適な開始時期は、お子さまの歯並びや骨の成長によって決まります。
おおよその目安として5~7歳頃(小学校に入学する頃)、上顎前歯の乳歯が永久歯に生え変わる頃が最適です。
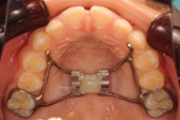
上顎に付ける固定装置です。装置の中央に装着されたネジを回して顎を拡大し、顎の成長をコントロールします。

夜寝る時やお家にいる時に使用する顎外装置です。奥歯を後方へ移動させたり下顎の成長を抑制します。

矯正治療は若い人が見た目の問題を治すためにするというイメージでしょうか?大木歯科・矯正歯科 四日市では多くの成人された患者様にも矯正治療を受けていただいております。
矯正治療は、ただ見た目をキレイにするだけのものではありません。
歯並び・噛み合わせを改善することで、歯磨きがしやすくなり、虫歯や歯周病の予防、口臭が改善されるなど、様々な効果があります。

歯の表面の矯正装置が目立ちにくいホワイトブラケットや、装置を歯の裏側に装着する舌側矯正、薄く透明なマウスピースを使用するマウスピース矯正など、患者様にあった多くの矯正装置を使用しています。大木歯科・矯正歯科 四日市では歯並びやご要望に合わせた矯正装置をご提案させていただきます。

iTero(アイテロ)はお口の中を直接スキャンしてデータ化するデジタル機器です。これまでの粘土のような歯科材料で歯型を採取する方法とは異なり、約1~2分で型取りが終わるため患者様の負担も少なくなります。

歯の表面にブラケットと言われる矯正装置を装着し、ワイヤーを通して歯を動かします。大木歯科・矯正歯科 四日市では目立ちにくいホワイトブラケットもご用意しております。

歯の裏側にブラケットとワイヤーを装着して歯並びを整えます。装置が目立ちにくく周りに気づかれにくいです。上下どちらかだけを裏側にすることも可能です。

薄く透明なマウスピースを作製、装着し、段階的にマウスピースを付け替え少しずつ歯を動かし歯並びを整えます。目立ちにくく、自分で取り外しができるので歯磨きがしやすく衛生的です。
マウスピース矯正について詳しくはこちら
「マウスピース矯正について知ろう!歯列矯正の新しい治療方法」

矯正治療のご説明や、お口の中の状態に合わせた治療方法や費用・期間等をご説明させていただきます。

より正確な治療を行うために、虫歯や歯周病の確認だけでなく、歯科用CTやセファロを用いて様々な検査を行い分析します。

精密検査の結果をもとに、矯正専門の歯科医師が診断を行います。
治療計画を立案後、担当医が患者さまに分かりやすく、丁寧にご説明いたします。
患者さまにご納得いただけましたら治療を開始します。

矯正装置を装着して歯を動かし、段階的に治療を進めていきます。装置の装着後は約1ヶ月ごとに通院します。

歯を動かした後は、その歯並びが安定するまで保定装置を装着します。
保定装置をきちんと入れていないと歯並びは後戻りを起こします。

| 矯正相談 | 無料 ※歯科検診も同時に行う場合は初診料3,000円程度(保険適応) |
|---|---|
| 矯正検査・診断料 | ¥55,000 |
子どもの矯正
| 第1期矯正治療費(混合歯列期) | ¥440,000 |
|---|---|
| 第2期矯正治療費(永久歯列期) ※第1期矯正治療を受けられたお子様が対象 | ¥275,000 |
矯正
| ワイヤー矯正 | ¥715,000 |
|---|---|
| ワイヤー矯正(上下舌側) | ¥715,000 +¥660,000 |
| ワイヤー矯正(片側舌側) | ¥715,000 +¥330,000 |
| マウスピース型カスタムメイド矯正装置 | ¥880,000 |
| 毎月の調整料 | ¥3,300〜¥5,500/回 |
その他
| 矯正抜歯 | ¥5,500/本 |
|---|---|
| インプラントアンカー | ¥55,000 |
| 上下部分矯正(マウスピース) | ¥330,000 |
| 片顎部分矯正(ワイヤー) | ¥275,000 |
| 片顎部分矯正(ワイヤー) | ¥165,000 |
※費用は全て税込み表記です。



























