歯周病は歯槽膿漏とも呼ばれ、「人類史上最も感染者数が多い病気」として2001年にギネス世界記録に認定されました。日本では成人の約80%が歯周病であるというデータも報告されています。
そんな多くの日本人が罹患している歯周病ですが、実は「歯を失う原因で最も多い病気」としても有名です。
また、歯周病(歯槽膿漏)は全身疾患にも影響があると言われています。



歯周病とは、磨き残しの中の歯周病菌が歯茎の周りで毒素を出すことによって歯茎が赤くなったり腫れたり、出血したり、そして「歯を支えているの顎の骨が溶ける病気」です。
歯周病は大きく分けて「歯肉炎」と「歯周炎」の2つに分けられます。歯槽膿漏とも呼ばれますが、歯槽膿漏とは歯周病が進行したときの症状を表しており、歯周炎=歯槽膿漏と表記されることがあります。
歯周病の一歩手前、歯茎が赤く腫れている状態(歯肉炎)のうちは痛みも少なく自覚しにくいです。しかし、痛くないからといって放置をしていると、知らず知らずのうちに歯を支えている顎の骨が溶けていってしまいます(歯周炎・歯槽膿漏)。そして気付いた時には歯を支えている顎の骨がなくなり、歯はグラグラと揺れはじめ、物が噛めなくなったり最終的には歯が抜け落ちてしまう恐ろしい病気です。
歯周病(歯槽膿漏)は虫歯と違って重症化していることに気付きにくいですが、顎の骨は一度溶けてしまうと元には戻らないため、早期発見・早期治療がとても大切になります。


歯周病(歯槽膿漏)の1番の原因は磨き残しの中に存在する歯周病菌(プラーク)が原因です。
歯周病菌は酸素を嫌うため、歯と歯の間や歯と歯茎の隙間を好んで住み着き、そこで毒素を出すことによって歯茎や顎の骨に炎症を起こします。
また歯周病の直接的な要因は歯周病菌ですが、それ以外にも間接的に歯周病を悪化させる要因がいくつかあります。これらを歯周病のリスクファクターと言います。
歯周病の改善にはプラークの除去とリスクファクターを少しでも減らしていくことが重要です。
歯周病とは、歯肉炎と歯周炎の総称です。歯茎にだけ炎症が起きている状態を「歯肉炎」と言い、歯肉炎が悪化して歯を支えている顎の骨にまで炎症が広がった状態を「歯周炎(歯槽膿漏)」と言います。
歯と歯茎の間には溝(歯周ポケット、歯肉溝)があり、健康な状態であれば歯周ポケットの深さは 1〜3ミリ以内で、歯茎はピンク色に引き締まっています。

・歯周ポケットは3~4mm
・歯肉は赤く、腫れている
・歯磨きした時に出血する
・歯肉の退縮はなく、骨も溶けていない



・歯磨き、フロス、歯間ブラシ
・スケーリング
スケーラーと呼ばれる器具を使用して、歯と歯の間や歯茎の上についている歯石(縁上歯石)を除去します。

・歯周ポケット3~5mm
・歯肉の炎症が長期的に進む
・骨が溶け始める


・歯磨き、フロス、歯間ブラシ
・スケーリング
・ルートプレーニング
歯茎の中や歯根表面にこびりついている歯石(縁下歯石)を除去し、歯根表面を滑らかに研磨して再び汚れがつきにくいようにします。
・歯周ポケット掻爬
痛みが出ないよう麻酔を行い、歯周ポケットのより深いところに付着した歯石や汚れをスケーリングやルートプレーニング同様の器具で掻き出し除去します。

・歯周ポケット5~7mm
・歯の長さの1/2の骨が溶けている
・歯がグラグラ揺れること始める



・歯磨き、フロス、歯間ブラシ
・スケーリング、ルートプレーニング
・歯周ポケット掻爬
・歯肉切除
スケーリングやルートプレーニングで歯石や汚れを除去した後、歯周病菌に感染して腐ってしまった歯肉を切除します。
・歯肉剥離掻爬術(フラップ法、Fop)
歯周ポケットが深く、器具が歯石や汚れに届かない場合や除去しきれない場合に、歯茎を切開して目視下で直接的に除去します。

・歯周ポケット7mm以上
・歯の長さの2/3の骨が溶けている
・骨の量が少ないため歯の揺れが大きくなる


・歯磨き、フロス、歯間ブラシ
・スケーリング、ルートプレーニング
・歯周ポケット掻爬
・FOP、抜歯

歯肉炎と歯周炎(歯槽膿漏)の違いは「歯を支えている顎の骨が溶けているか」で判断をしています。
そのため歯周病の診断には歯周ポケットの深さや出血の有無を測定する歯周基本検査だけでなく、レントゲン写真で骨の状態も確認しながら診断をします。
歯周病(歯槽膿漏)治療の基本は歯磨きによる歯周病菌の除去です。歯磨きやフロスでお口の中の汚れの約8割が取り除けます。
残りの汚れは日頃の磨き残しや歯周ポケットの内側に溜まってこびりつき硬くなってしまうので、歯科医院に来ていただいた時にお取りしていきます。
お家で8割、歯科医院で2割、合わせて10割取っていくことで歯周病を予防しましょう。

ホームケアとはお家で行う普段の歯磨きのことです。虫歯や歯周病を予防するための食習慣もホームケアの一環です。このホームケアが上手くいっていないと治療の効果が出にくかったり、歯周病が再発する可能性が高くなります。
大木歯科・矯正歯科 四日市では患者様に合わせたホームケアのご提案をさせていただいております。
◉ 歯磨き、フロス、歯間ブラシなど
◉ フッ素入り歯磨き粉や洗口剤

プロフェッショナルケアとは歯科医院で行うクリーニングや歯石の除去、フッ素塗布やシーラント等のことです。普段の歯磨きで落とすことのできない汚れを専用の機械で取り除きます。定期的に行うことでお口の中を良い状態に保ち歯周病の再発を予防します。
◉ クリーニング、歯石の除去
◉ フッ素塗布、シーラント


タバコは歯周病を悪化させるリスクファクターの代表例です。
タバコを吸われている方は歯周病の罹患率が通常の5倍、また10年以上喫煙されていると歯周病の重症化するリスクが4倍高くなると言われています。さらに、喫煙者は歯周病の治療を行なっても効果が出にくく、治りにくいと言われています。
ニコチンの血管収縮作用によって、血液の流れが悪くなり、歯茎に酸素や栄養が行き届かず、酸素を嫌う歯周病菌が繁殖しやすくなります。
白血球の機能が抑制され、身体の免疫機能が低下し、細菌に対する防御機能が弱まってしまうため歯周病にかかりやすく重症化リスクが高くなります。
歯周病の治療に必要な細胞の働きを抑えてしまい、歯茎の修復機能が低下して治療しても歯周組織の治癒に対する反応が悪く治りにくくなります。

大木歯科・矯正歯科 四日市では歯周病を本気で食い止めるためだけではなく、全身の健康のためにも禁煙をおすすめしており、多くの患者様が歯周病治療をきっかけに禁煙をされています。
歯周病治療は時間と労力がかかりますので、治療効果を最大限に上げるためにも禁煙はおすすめです。
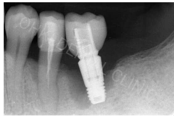
歯周病の問題が残った状態でのインプラント治療は、治療自体はできなくもないですが、インプラントの耐久年数に影響が出てくる可能性があります。
インプラントは人工歯根を顎の骨の中に埋入して歯を作る治療なので、歯周病によって歯を支えている顎の骨が溶けてしまうとご自身の歯同様にインプラントも抜けてしまいます。


歯周病(歯槽膿漏)が進み重症化すると、インプラントを埋入するための必要な量の骨が溶けてなくなっている場合があります。
また今は重症化していなくても、歯茎の腫れや出血が続いている状態でのインプラント治療は長持ちしないリスクが高くなります。
大木歯科・矯正歯科 四日市では歯周病に罹患していてインプラントを検討されている患者様に対し、まずは徹底的に歯周病の治療を行い、ご自身の歯やインプラントが悪くなる原因を取り除いてからインプラント治療を受けていただいております。